-
カウンセリングSTEP
02
歯の痛みや違和感などのご来院理由のほか、お悩みやご要望なども詳しく伺います。
-
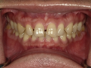
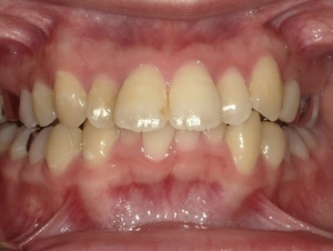
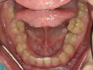
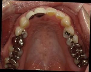
口腔内検査STEP
03
問診での主訴を中心にお口全体を診察します。虫歯の有無や歯周病に関しても必要に応じて検査します。
-
応急処置STEP
04
「痛みがある」「出血している」などの症状がある場合などは必要に応じて応急処置をします。
-
治療計画のご説明STEP
05
精密検査の結果に基づいて、治療計画を立てわかりやすく丁寧にご説明します。
-
次回予約STEP
06
診察が終了しましたら、受付にて次回の予約をお願いします。

























